MRIと簡便な体幹筋機能のスクリーニングで“腰椎分離症”の特徴を解明
2025年12月4日
早稲田大学
発表のポイント
●中学生年代(12〜14歳)の男子サッカー選手を対象に、MRIで「片側の腰椎分離症」を確認し、体幹の深層筋と簡便にチェック可能なスクリーニングテストの特徴を調べました。
●腰椎分離症(病変側)では、体幹の深層筋である「大腰筋」が対照群より約12%小さく、左右差がみられました。
●Active Straight Leg Raise(ASLR; 脚上げテスト)を用いた簡易スクリーニングにおいて、脚を上げた側と同じ側の骨盤が沈む現象が腰椎分離症(病変側)で多くみられました(ASLR陽性16名中13名が分離症)。
●MRI(腰椎分離症評価)と簡易スクリーニングの組み合わせにより、見逃されやすい“左右差”を可視化し、評価やリハビリ、障害発生の予防につながる可能性があります。
成長期の選手に多く発生する腰部障害である腰椎分離症※1は、運動制限が長引きやすく、早期発見と再発予防が不可欠です。早稲田大学スポーツ科学学術院の筒井 俊春(つつい としはる)講師の研究グループでは、12〜14歳の中学生男子サッカー選手107名のMRI※2から片側腰椎分離症19名を抽出し、年齢・身長・体重をそろえた対照群19名と比較しました。その結果、腰椎分離症側の大腰筋※3が対照群より約12%小さく、脚上げテスト(ASLR※4)で分離症側の骨盤が沈む※5所見が多いことが分かりました。画像と簡便テストを組み合わせた評価が、現場でのスクリーニングや個別化支援の手がかりになる可能性があります。
本研究成果は、2025年11月21日(金)に『BMC Sports Science, Medicine and Rehabilitation』に掲載されました。
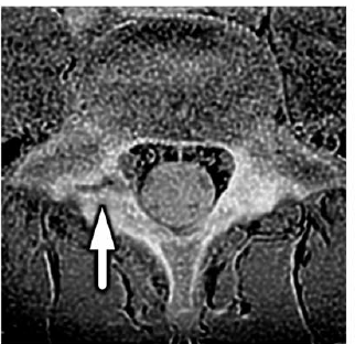
図2: 腰椎分離症のMR画像(画像は腰椎の水平断面を示す。矢印は腰椎分離症の病態箇所である)
キーワード:
腰椎分離症/スポーツ障害/成長期/サッカー/MRI/大腰筋/体幹筋/骨盤の安定性/ASLR(脚上げテスト)/早期発見・予防
(1)これまでの研究で分かっていたこと
腰椎分離症は成長期アスリートに多い腰のスポーツ障害で、反り・ひねり動作の反復が関与すると考えられています。発症すると、コルセット装着などを含む運動制限が必要になり、成長期の競技生活に影響します。一方、片側腰椎分離症に特有の「体幹筋の左右差」や「骨盤のコントロール」の特徴は、スポーツ現場での評価・指導に落とし込みやすい指標として示されているとは言い難いのが現状です。
(2)今回の新たに実現しようとしたこと、明らかになったこと、そのために新しく開発した手法
本研究は「片側腰椎分離症の選手には、どのような体幹筋の形態と機能の特徴があるのか」を、画像(MRI)と簡便なスクリーニングテストの両面から整理することを目的としました。対象は同一クラブに所属する12〜14歳の男子サッカー選手107名です。全員に3テスラ※6MR装置を用いて腰部の撮像を実施し、片側腰椎分離症が確認された19名を抽出しました。比較のため、年齢・身長・体重が同程度になるように対照群19名を設定しました。
MRIでは、腰椎L4/5レベルの画像から体幹の主要筋(大腰筋、多裂筋、脊柱起立筋)の断面積を左右別に測定しました。さらに、現場で実施しやすい2つの簡便なスクリーニングテストを行いました。1つ目は仰向けで片脚を上げるActive Straight Leg Raise(脚上げテスト)で、脚を上げた側の骨盤が沈む現象の有無を確認しました。2つ目はうつ伏せで脚を上げる股関節伸展テストです。
その結果、片側腰椎分離症の選手では、分離症側の大腰筋が対照群より小さく(約12%)、左右差が認められました。一方で、多裂筋と脊柱起立筋には明確な差がみられませんでした。さらに、ASLRで「腰椎分離症側の骨盤が沈む」現象は腰椎分離症を有する選手に多く、ASLRが陽性だった16名のうち13名が片側腰椎分離症を有していました。これらは、片側腰椎分離症では「深部筋(大腰筋)の左右差」と「脚上げ動作での骨盤の安定性低下」がみられる可能性を示します。
MRIは確定評価に有用ですが、日常的に全員へ行うことは困難です。そこで、簡便なスクリーニングテストで左右差を早期に拾い上げ、必要に応じて画像評価や体幹トレーニング内容の見直しへつなげる等、現場の意思決定に役立つことが期待されます。
(3)研究の波及効果や社会的影響
腰椎分離症は運動制限が長期化しやすく、早期発見と再発予防が重要です。簡便テストで“注意すべき左右差”を拾えれば、現場での見逃しを減らす助けになります。
評価の標準化は、受診判断、復帰プロセス、個別化した体幹トレーニング(骨盤の安定性・大腰筋へのアプローチ)の検討につながります。
(4)今後の課題、展望
横断研究のため、「大腰筋が小さいことが原因か結果か」はこれからの検討事項です。
MRIは安静位撮影だったため、今後は動作中の腰部挙動や動作中の筋活動についての調査が必要です。
(5)研究者のコメント
腰椎分離症は成長期の選手にとって「休む期間」が長くなりやすい障害です。今回、MRIと現場でできる簡便な体幹筋機能のスクリーニングテストを用いることで、片側分離症に特徴的な左右差を整理できました。早期の気づきと個別化した支援につながる手がかりになればと考えています。
(6)用語解説
※1 腰椎分離症:
腰椎の後ろ側(椎弓)に起こる疲労骨折の一種。成長期の反り・ひねり動作の反復で起こりやすい。
※2 MRI:
磁気を用いて体内を撮影する検査。骨の状態や筋肉などを評価できる。
※3 大腰筋:
腰椎から大腿骨につながる深部筋。股関節の動きと腰部・骨盤の安定に関わる。
※4 ASLR(脚上げテスト):
仰向けで片脚を上げ、骨盤や腰の安定性をみる簡便な評価。
※5 骨盤が沈む(骨盤下降):
脚を上げるときに骨盤が回って下がるように見える状態。体幹・骨盤のコントロール低下のサインになり得る。
※6テスラ:
MRI装置の磁力(磁場の強さ)を表す単位。テスラの値が大きいほど磁力が強く、より高画質で詳細な画像が得られる。多くの病院では1.5テスラのMRIが設置されている一方、早稲田大学には3テスラのMRIが設置されている。
(7)論文情報
雑誌名:BMC Sports Science, Medicine and Rehabilitation
論文名:Trunk muscle morphology and lumbopelvic stability in adolescent soccer players with unilateral lumbar spondylolysis: a cross-sectional study.
執筆者名(所属機関名):Toshiharu Tsutsui(Waseda University)* , Wataru Sakamaki(Waseda University), Suguru Torii(Waseda University)*責任著者
掲載日時:2025年11月21日(金)
DOI:https://doi.org/10.1186/s13102-025-01387-w
掲載URL:https://link.springer.com/article/10.1186/s13102-025-01387-w
(8)研究助成
本研究は、JSPS 科研費(課題番号:JP24K20617)およびミズノスポーツ振興財団の助成を受けて実施されました。
編集部からのお知らせ
新着情報
あわせて読みたい
自動車リサイクル促進センター














